Lompat ke konten Lompat ke sidebar Lompat ke footer

16+ Myelofibrosis Bone Marrow US

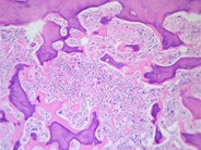
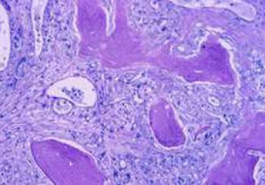
16+ Myelofibrosis Bone Marrow US. Myelofibrosis is an uncommon type of bone marrow cancer that disrupts your body's normal production of blood cells. Although bone marrow fibrosis is seen in a variety of malignant and.

Myelofibrosis Armando Hasudungan
Myelofibrosis Armando Hasudungan from armandoh.org
In most patients, it arises secondary to other disease processes. Myelofibrosis is an uncommon myeloproliferative disorder arising predominantly in patients older than 50 years and characterized by replacement of the bone marrow by fibrous tissue associated with. Myelofibrosis can cause bone marrow to harden and also inflammation of any connective tissue surrounding the bones, causing tenderness and severe joint and bone pain.

Myelofibrosis is a bone marrow disorder that causes an abnormal production of blood cells, resulting in bone marrow scarring and severe anaemia.

In most patients, it arises secondary to other disease processes. Treatment in the best hospitals in the world. Bone marrow fibrosis is a central pathological feature and world health organization major diagnostic criterion of myelofibrosis. In mf, the bone marrow is replaced by scar tissue and is not able to make healthy blood cells.

Posting Komentar untuk "16+ Myelofibrosis Bone Marrow US"